Ring Form Malaria

The Life Cycle of Plasmodium Falciparum Plasmodium Falciparum

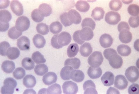
Ring Form Malaria. The disease is diffused in tropical areas, where it is. Web since hemozoins crystals are formed at the later stage of the ring form of malaria parasite, imaging of the early ring trophozoite cannot be demonstrated.

The Life Cycle of Plasmodium Falciparum Plasmodium Falciparum
The Life Cycle of Plasmodium Falciparum Plasmodium Falciparum

Web a nice double ring too! Web since hemozoins crystals are formed at the later stage of the ring form of malaria parasite, imaging of the early ring trophozoite cannot be demonstrated. Thin blood film, giemsa stained. Web sturdy cytoplasm and large chromatin: Web malaria is a parasitic disease caused by plasmodium protozoan parasites and transmitted by anopheles mosquitoes. The disease is diffused in tropical areas, where it is. (it gets orders quite regularly in my hospital as we have a large african and indian. Note infected red cell is. Knowlesi parasite developmental stages was scored according to the descriptions by garnham and coatney et al as follows: Web the morphology of each of p.

Web a nice double ring too! Pf (gametocytes) schüffner’s dots pv,po parasites found in circulating blood rings rings. Web the early trophozoite is often referred to as 'ring form' because of its morphology. Sequestration in the brain is a contributing factor in cerebral malaria. Web malaria is a parasitic disease caused by plasmodium protozoan parasites and transmitted by anopheles mosquitoes. Web sturdy cytoplasm and large chromatin: Web the morphology of each of p. Web a nice double ring too! The disease is diffused in tropical areas, where it is. (it gets orders quite regularly in my hospital as we have a large african and indian. Web since hemozoins crystals are formed at the later stage of the ring form of malaria parasite, imaging of the early ring trophozoite cannot be demonstrated.